|
Move mouse coursor or your finger upon an image
and you can see the image without labells
|
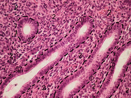
PROLIFERATIVE ENDOMETRIUM
Stained with haematoxylin and eosin
1 - endometrial glands
2 - endometrial stroma
|
 |
PROLIFERATIVE ENDOMETRIUM
Stained with haematoxylin and eosin
1 - endometrial glands
2 - endometrial stroma
|
 |
SECRETORY ENDOMETRIUM
early secretory phase
Stained with haematoxylin and eosin
1 - endometrial glands
2 - endometrial stroma
|
 |
SECRETORY ENDOMETRIUM
early secretory phase
Stained with haematoxylin and eosin
1 - endometrial glands
2 - endometrial stroma
|
 |
SECRETORY ENDOMETRIUM
early secretory phase
Stained with haematoxylin and eosin
1 - endometrial glands
2 - endometrial stroma
|
 |
SECRETORY ENDOMETRIUM
early-middle secretory phase
Stained with haematoxylin and eosin
1 - endometrial glands
2 - endometrial stroma
|
 |
SECRETORY ENDOMETRIUM
middle secretory phase
Stained with haematoxylin and eosin
1 - endometrial glands
2 - endometrial stroma
|
 |
SECRETORY ENDOMETRIUM
middle secretory phase
Stained with haematoxylin and eosin
1 - endometrial glands
2 - endometrial stroma
|
 |
SECRETORY ENDOMETRIUM
middle-late secretory phase
Stained with haematoxylin and eosin
1 - endometrial glands
2 - endometrial stroma
|
 |
SECRETORY ENDOMETRIUM
late secretory phase
Stained with haematoxylin and eosin
1 - endometrial glands
2 - endometrial stroma
|
 |
SECRETORY ENDOMETRIUM
late secretory phase
Stained with haematoxylin and eosin
1 - endometrial glands
2 - endometrial stroma
|
 |
SECRETORY ENDOMETRIUM
middle secretory phase
Stained with haematoxylin and eosin
decidual cells (transformed stromal cells) in middle secretory phase indicated with arrows
|
 |
SECRETORY ENDOMETRIUM
late secretory phase
Stained with haematoxylin and eosin
decidual cells (transformed stromal cells) in late secretory phase indicated with arrows
|
 |