К ОГЛАВЛЕНИЮ АТЛАС МИКРОФОТОГРАФИЙ
ОРГАНЫ ДЫХАНИЯ
ГИСТОЛОГИЯ
в таблицах и схемах

 
Поместите стрелку мыши или нажмите пальцем на фотографию
и Вы сможете увидеть ее без обозначений
(при медленной загрузке - не убирайте стрелку мыши или палец
с картинки до тех пор пока не появится картинка без обозначений)


ТРАХЕЯ
    Окраска гематоксилин-эозином

1 - слизистая оболочка
2 - подслизистая оболочка
3 - фиброзно-хрящевая оболочка
4 - адвентициальная оболочка



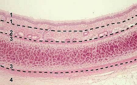
ТРАХЕЯ
    Окраска гематоксилин-эозином

1 - слизистая оболочка
2 - подслизистая оболочка
3 - фиброзно-хрящевая оболочка
4 - адвентициальная оболочка
5 - эпителий слизистой оболочки
6 - собственная пластинка слизистой оболочки
7 - мышечная пластинка слизистой оболочки
8 - железы подслизистой оболочки
9 - гиалиновый хрящ



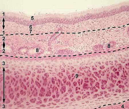
ТРАХЕЯ
    Окраска гематоксилин-эозином

1 - слизистая оболочка
2 - подслизистая оболочка
3 - фиброзно-хрящевая оболочка
5 - эпителий слизистой оболочки
6 - собственная пластинка слизистой оболочки
7 - мышечная пластинка слизистой оболочки
8 - выводные протоки желез
9 - гиалиновый хрящ



ЛЕГКОЕ
    Окраска гематоксилин-эозином

1 - бронх среднего калибра
2 - эпителий слизистой оболочки
3 - собственная пластинка слизистой оболочки
4 - мышечная пластинка слизистой оболочки
5 - подслизистая оболочка
6 - фиброзно-хрящевая оболочка
7 - адвентициальная оболочка
8 - альвеолы
9 - интерстициальная соединительная ткань легкого
10 - железы подслизистой оболочки



ЛЕГКОЕ
    Окраска гематоксилин-эозином

1 - бронх среднего калибра
2 - эпителий слизистой оболочки
3 - собственная пластинка слизистой оболочки
4 - мышечная пластинка слизистой оболочки
5 - подслизистая оболочка
6 - фиброзно-хрящевая оболочка
7 - адвентициальная оболочка
8 - альвеолы
9 - интерстициальная соединительная ткань легкого
10 - железы подслизистой оболочки



ЛЕГКОЕ
   Окраска гематоксилин-эозином

1 - бронх среднего калибра
2 - эпителий слизистой оболочки
3 - собственная пластинка слизистой оболочки
4 - мышечная пластинка слизистой оболочки
5 - подслизистая оболочка
6 - фиброзно-хрящевая оболочка
7 - адвентициальная оболочка
8 - альвеолы
9 - интерстициальная соединительная ткань легкого
10 - железы подслизистой оболочки



ЛЕГКОЕ
    Окраска гематоксилин-эозином

1 - мелкий бронх
3 - альвеолы



ЛЕГКОЕ
    Окраска гематоксилин-эозином

1 - мелкий бронх
2 - альвеолы
3 - эпителий слизистой оболочки
4 - собственная пластинка слизистой оболочки
5 - мышечная оболочка
6 - адвентициальная оболочка


© histol@mail.ru