CONTENTS HISTOLOGY IMAGES
WEB HISTOLOGY TEXTBOOK

RESPIRATORY SYSTEM

 
Move mouse coursor or your finger upon an image
and you can see the image without labells

TRACHEA
     Stained with haematoxylin and eosin

1 - tunica mucosa
2 - tunica submucosa
3 - fibro-elastic layer
4 - tunica adventitia


TRACHEA
     Stained with haematoxylin and eosin

1 - tunica mucosa
2 - tunica submucosa
3 - fibro-elastic layer
4 - tunica adventitia
5 - epithelium of the mucosa
6 - lamina propria of the mucosa
7 - lamina muscularis of the mucosa
8 - glands in the tunica submucosa
9 - hyaline cartilage


TRACHEA
     Stained with haematoxylin and eosin

1 - tunica mucosa
2 - tunica submucosa
3 - fibro-elastic layer
5 - epithelium of the mucosa
6 - lamina propria of the mucosa
7 - lamina muscularis of the mucosa
8 - evacuatory ducts of submucosal glands
9 - hyaline cartilage


LUNG
     Stained with haematoxylin and eosin

1 - middle diameter bronchus
2 - epithelium of the mucosa
3 - lamina propria of the mucosa
4 - lamina muscularis of the mucosa
5 - tunica submucosa
6 - fibro-elastic layer
7 - tunica adventitia
8 - alveoli
9 - interstitial connective tissue of the lung
10 - glands in tunica submucosa


NOTE!
There is bronchial system in the lung, from main, or primary, bronchi to bronchioles.
Morphologically, there are only two types of bronches in the lung.

  • One type is large and middle diameter bronchi. This type of bronchi have tunica submucosa and fibro-elastic layer.
  • Another type of bronchi is small diameter bronchi. It includes small bronchi and bronchioles. This type has not both submucosal fibro-elastic layers.


LUNG
     Stained with haematoxylin and eosin

1 - middle diameter bronchus
2 - epithelium of the mucosa
3 - lamina propria of the mucosa
4 - lamina muscularis of the mucosa
5 - tunica submucosa
6 - fibro-elastic layer
7 - tunica adventitia
8 - alveoli
9 - interstitial connective tissue of the lung
10 - glands in tunica submucosa


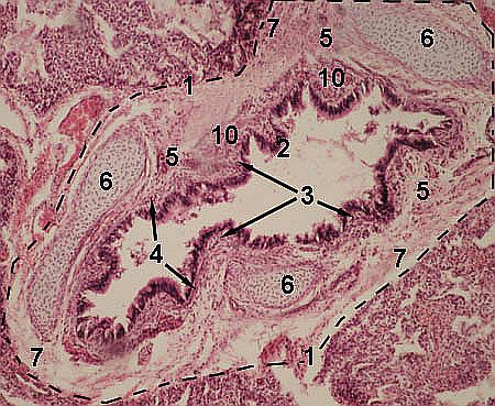
LUNG
     Stained with haematoxylin and eosin

1 - middle diameter bronchus
2 - epithelium of the mucosa
3 - lamina propria of the mucosa
4 - lamina muscularis of the mucosa
5 - tunica submucosa
6 - fibro-elastic layer
7 - tunica adventitia
8 - alveoli
9 - interstitial connective tissue of the lung
10 - glands in tunica submucosa


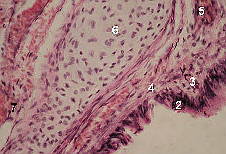
LUNG
     Stained with haematoxylin and eosin

1 - small diameter bronchus
3 - alveoli


LUNG
     Stained with haematoxylin and eosin

1 - small diameter bronchus
2 - alveoli
3 - epithelium of the mucosa
4 - lamina propria of the mucosa
5 - tunica muscularis propria
6 - tunica adventitia


LUNG
     Stained with haematoxylin and eosin

1 - middle diameter bronchus
2 - epithelium of the mucosa
3 - lamina propria of the mucosa
4 - lamina muscularis of the mucosa
5 - tunica submucosa
6 - fibro-elastic layer
7 - tunica adventitia
10 - glands in tunica submucosa


LUNG
middle diameter bronchus

     Stained with haematoxylin and eosin

2 - epithelium of the mucosa
3 - lamina propria of the mucosa
4 - lamina muscularis of the mucosa
5 - tunica submucosa
6 - fibro-elastic layer
7 - tunica adventitia



© histol@mail.ru